수술 안내

정밀한 진단, 안전한 수술
환자 중심의 이비인후과를 지향합니다.

W 1DAY SYSTEM

원데이 수술 시스템

수술이 필요한 순간, 일정과 비용 때문에 망설이지 않으셔도 됩니다.
W이비인후과는 입원·수술·퇴원이 하루에 완료되는 원데이 시스템으로
시간적·경제적 부담 없이 안전한 수술을 받으실 수 있습니다.

당일 입원

당일 수술

당일 퇴원


W 1DAY SYSTEM

더블유 원데이 수술 시스템의 장점

당일입원
당일퇴원

녹는 솜
사용

적은
통증

최신 수술
장비 사용

대학병원 대비
저렴한 비용


W 1DAY SYSTEM

W 원데이 수술 시스템의 일정

입원수속

수술 전 검사 및 처치

수술

회복 및 안정

퇴원

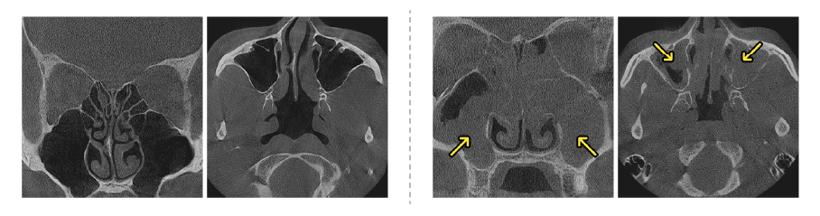
HIGH FREQUENCY TURBINOPLASTY

고주파비염수술이란?

고주파비염수술은 비대해진 코점막에 고주파 열을 가하여 점막의 부피를 줄이는 수술입니다.

고주파비염수술 설명 1
고주파비염수술 설명 2 고주파비염수술 전 고주파비염수술 후

HIGH FREQUENCY TURBINOPLASTY

더블유 고주파비염수술의 장점

국소 마취

적은 출혈과 통증

짧은 수술 시간

빠른 회복


HIGH FREQUENCY TURBINOPLASTY

더블유 고주파비염수술의 권장 대상

  • 코막힘이 주증상인 만성 비염 환자
  • 약물 치료로 코막힘이 호전되지 않는 분
  • 과거에 비염 수술을 받았으나 재발하신 분
  • 코골이가 심하거나 입벌리고 숨쉬시는 분

HIGH FREQUENCY TURBINOPLASTY

더블유 고주파비염수술의 가이드

정밀 진단

코내시경 · CT · 알레르기 검사로 코막힘의 정확한 원인을 파악

당일 입원 · 수술 · 퇴원

하루 만에 입원·수술·퇴원 완료. 당일 귀가 가능합니다.

국소 · 수면마취

전신마취 없이 부작용이 적은 국소 및 수면마취로 진행합니다.

수술시간 약 20분

짧은 시술 시간으로 신체적 부담을 최소화합니다.

녹는 솜 사용

별도로 솜을 제거하지 않아도 되는 녹는 솜을 사용합니다. 답답함과 불편감이 크게 줄어들며, 녹는 과정에서 콧물이 많이 나올 수 있으나 자연스러운 회복 과정입니다.

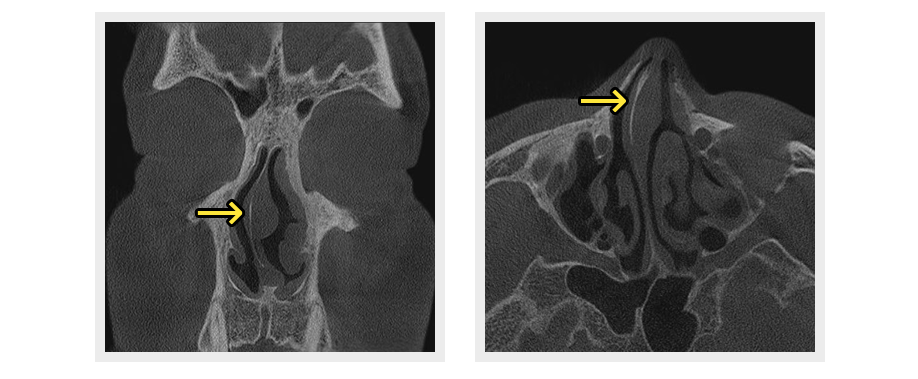
septoplasty

비중격 교정술이란?

비중격교정술은 비중격의 휘어진 뼈와 연골 부위를 바로잡는 수술입니다.
비중격 만곡증은 코에서 발생하는 구조적인 문제이므로 완전한 치료는 비중격 교정술로만 가능합니다.

비중격 교정술 설명
비중격 교정술 설명 2 비중격 교정술 전 비중격 교정술 후

septoplasty

더블유 비중격 교정술의 장점

국소 마취

적은 출혈과
통증

짧은
수술 시간

녹는 솜
사용


septoplasty

더블유 비중격 교정술의 권장 대상

  • 비중격 만곡증으로 코막힘이 잦은 분
  • 만곡증으로 향후 비염 악화가 예상되는 분
  • 만곡증으로 코골이 · 수면 무호흡이 있는 분
  • 만곡증으로 양압기 사용이 어려운 분

septoplasty

더블유 비중격 교정술 가이드

정밀 진단

코내시경 · CT 검사로 비중격 만곡 부위를 정확히 파악하여 수술 계획을 세웁니다.

당일 입원 · 수술 · 퇴원

하루 만에 입원·수술·퇴원 완료. 당일 귀가 가능합니다.

국소 · 수면마취

전신마취 없이 부작용이 적은 국소 및 수면마취로 진행합니다.

최소 연골 절제

연골 절제를 최소화하여 안장코·비중격 천공 등 부작용을 예방합니다.

녹는 솜 사용

별도 제거가 필요 없는 녹는 솜을 사용해 답답함과 불편감을 최소화합니다. 녹는 과정에서 콧물이 많이 나올 수 있으나 자연스러운 회복 과정입니다.

수술 후 경과 관찰

정기적인 드레싱 방문으로 안전하고 빠른 회복을 도와드립니다.

ENDOSCOPIC SINUS SURGERY

부비동 내시경 수술이란?

부비동 내시경 수술은 외부에서 상처가보이지 않게 코내시경을 이용하여 부비동 안의
염증을 제거하고 부비동을 개방하여 환기와 점액 배출이 잘 되게 하는 수술입니다.

부비동 내시경 수술 설명 정상 부비동 CT 만성 부비동염 CT
부비동 내시경 수술 설명 2 부비동 내시경 수술 전 부비동 내시경 수술 3개월 후

ENDOSCOPIC SINUS SURGERY

더블유 부비동 내시경 수술의 장점

국소 마취

적은 출혈과
통증

녹는 솜
사용

수술 후
빠른 회복

확대된 시야로
안전하게 수술

낮은
재발률

부비동의 해부학적
변형이 없음


ENDOSCOPIC SINUS SURGERY

부비동 내시경 수술 권장 대상

  • 3주 이상 약물 치료에도 반응이 없는 경우
  • 비용종(물혹)을 동반한 경우
  • 부비동염이 자주 재발하는 분
  • 부비동염으로 인한 합병증이 발생한 경우
  • 진균성 부비동염

ENDOSCOPIC SINUS SURGERY

더블유 부비동 내시경 수술 가이드

정밀 진단

코내시경 · CT로 염증 부위를 정확히 파악합니다.

당일 입원 · 수술 · 퇴원

하루 만에 입원·수술·퇴원 완료. 당일 귀가 가능합니다.

국소 · 수면마취

전신마취 없이 국소 및 수면마취로 진행합니다.

확대 내시경 수술

확대 내시경으로 정상 점막을 보존하여 재발률을 낮춥니다.

녹는 솜 사용

별도 제거가 필요 없는 녹는 솜을 사용해 답답함과 불편감을 줄이고 빠르게 회복합니다. 녹는 과정에서 콧물이 많이 나올 수 있으나 자연스러운 회복 과정입니다.

수술 후 경과 관찰

정기 드레싱으로 재발 없이 안전하게 회복합니다.

ORAL TUMOR SURGERY

구강종양수술이란?

혀·잇몸·입천장·협점막·턱뼈·침샘·입술 등 구강 및 안면 부위에 발생하는 종양을
외과적으로 제거하고, 필요 시 재건술을 병행하여 구강 기능을 최대한 보존하는 수술입니다.

01 혀 · 혀바닥 02 잇몸 · 턱뼈 03 입천장 · 협점막 04 침샘 · 입술

ORAL TUMOR SURGERY

구강 양성종양 치료 방법

경과 관찰

크기가 작고 증상이 없는 경우, 정기적인 진료를 통해 변화 여부를 확인하며 경과를 관찰하기도 합니다.

수술적 치료

종양이 커지거나 기능적 불편을 유발하는 경우, 외과적으로 제거를 고려할 수 있습니다. 종양의 위치와 크기에 따라 절제 범위가 달라질 수 있으며, 필요 시 기능 보존을 고려하여 진행됩니다.

추가적인 치료 및 관리

종양의 종류에 따라 조직검사 또는 추가적인 처치가 필요할 수 있으며, 정확한 진단 후 의료진과 상담을 통해 치료 방향이 결정됩니다.


ORAL TUMOR SURGERY

이런 분께 권장드립니다

  • 구강 내 혹 또는 덩어리가 일정 기간 지속되는 분
  • 입안 점막에 반복적으로 부어오르거나 만져지는 병변이 있는 분
  • 음식 섭취나 말할 때 불편감이 느껴지는 분
  • 종양 또는 병변에 대해 정확한 진단이 필요한 분

ORAL TUMOR SURGERY

구강종양 치료 가이드

정확한 진단

구강 내 병변의 위치와 크기, 형태를 확인하기 위해 필요 시 내시경 검사나 영상 검사를 통해 상태를 평가합니다. 이를 바탕으로 치료 여부를 결정합니다.

기능 보존 중심 치료

양성종양의 경우, 주변 조직의 손상을 최소화하면서 말하기, 씹기 등 구강 기능을 고려하여 치료를 진행합니다.

필요 시 제거 치료

종양이 커지거나 불편을 유발하는 경우 외과적 제거를 고려할 수 있습니다. 병변의 특성에 따라 치료 방법이 달라질 수 있습니다.

경과 관찰 및 관리

치료 후 또는 제거가 필요하지 않은 경우 정기적인 확인을 통해 변화 여부를 관찰합니다. 필요 시 추가적인 진료가 안내될 수 있습니다.

NECK TUMOR SURGERY

경부종양수술이란?

목에 발생한 양성 및 악성 종양을 외과적으로 제거하는 수술입니다.
종양의 위치·크기·조직 특성에 따라 수술 범위가 결정되며, 필요 시 기능적 재건을 병행합니다.


NECK TUMOR SURGERY

경부종양 수술 종류

알콜 경화술

낭종 등 병변에 고농도 알콜을 주입해 조직을 괴사시키는 시술. 낭성 병변·혈관 이상에 주로 사용합니다.

침샘종양 제거술

이하선·악하선·설하선 등 침샘에 발생한 양성·악성 종양을 절제하여 제거합니다.

갑상선 절제술

갑상선 결절·암·기능항진증 등의 치료를 위해 갑상선의 일부 또는 전부를 제거합니다.

선천성종양 제거술

새열낭종·갑상설관낭종 등 선천성 기형이나 종양을 외과적으로 제거합니다.

임파선 생검술

림프절 이상을 확인하기 위해 조직을 채취·검사합니다. 암 진단 및 전이 여부 확인에 활용됩니다.

구강 내 종양 제거술

혀·잇몸·볼 점막 등 구강 내 발생한 양성·악성 종양을 절제하여 제거합니다.

침샘결석 제거술

침샘 및 침샘관에 발생한 결석을 경구강 또는 경부 절제로 제거합니다.


NECK TUMOR SURGERY

수술 전 필수 검사

경부 초음파 검사

병변 성상을 확인하고, 필요 시 세침흡인검사·총조직검사를 병행합니다.

경부 CT 검사

초음파만으로 확인이 부족한 경우 전산화단층촬영을 추가로 시행합니다.

전신 상태 검사

혈액검사·심전도·폐촬영·폐기능검사로 전신마취 전 전반적인 건강 상태를 확인합니다.


NECK TUMOR SURGERY

수술 후 주의사항

  • 01
    목 움직임 제한과도한 목 회전이나 젖힘을 피하세요.
  • 02
    수술 부위 청결 유지절개 부위를 청결하고 건조하게 유지해 감염을 예방하세요.
  • 03
    음식 섭취 조심초기에는 부드럽고 삼키기 쉬운 음식을 섭취하세요.
  • 04
    음성 변화 관찰쉰 목소리·발성 어려움이 지속되면 진료를 받으세요.
  • 05
    호흡 및 부기 체크목 주변 부종이나 호흡 곤란 시 즉시 병원을 방문하세요.
  • 06
    무거운 물건 금지수술 후 2~4주간 무거운 물건을 들지 않도록 주의하세요.
  • 07
    정기 경과 관찰정기적인 추적 검사로 재발 여부와 합병증을 꾸준히 체크하세요.
TYMPANOSTOMY TUBE INSERTION

중이환기관 삽입술이란?

삼출성 중이염이 지속되어 귀 안에 삼출액이 고이면 청력이 떨어지고, 방치 시 언어 발달 지연·고막 변성으로 이어질 수 있습니다.
고막을 절개해 삼출액을 제거하고 환기 튜브를 삽입하여 중이 내 환기를 회복시키는 수술입니다.


TYMPANOSTOMY TUBE INSERTION

수술 목적 및 방법

청력 회복

삼출액을 제거해 청력 장애를 해결하고 언어 발달 지연을 예방합니다.

고막 보호

삼출액이 장기간 고여 생기는 고막 함몰·석회질 침착·변성을 막습니다.

수술 방법

고막을 절개 → 중이 내 삼출액 흡입 제거 → 환기 튜브 삽입. 튜브는 공기만 통하는 구조로, 6~12개월 후 자연적으로 탈락합니다. 소아는 전신마취, 성인은 국소마취로 진행합니다.


TYMPANOSTOMY TUBE INSERTION

수술 권장 대상

  • 양쪽 귀 삼출액이 3개월 이상 지속되는 경우
  • 한쪽 귀 삼출액이 6개월 이상 지속되는 경우
  • 삼출액으로 고막이 함몰되거나 석회질 침착이 심한 경우
  • 양측 청력 저하가 지속되어 회복되지 않는 경우

TYMPANOSTOMY TUBE INSERTION

자주 묻는 질문

Q. 환기관 삽입 후 수영이나 물놀이를 해도 되나요?

수영은 자제하는 것이 좋습니다. 튜브 자체는 물이 통하지 않는 구조이지만, 고막의 틈을 통해 오염된 물이 중이로 들어갈 수 있습니다. 샤워·세수 시에도 귀에 물이 들어가지 않도록 주의하세요.

Q. 삽입한 튜브가 금방 빠져버렸어요. 재수술을 해야 하나요?

튜브는 고막이 재생되면서 자연적으로 밀려 나오는 경우가 많습니다. 중이염은 재발이 잦아 튜브 삽입만으로 완치는 어렵고, 재수술이 필요한 경우에는 아데노이드 제거 수술을 함께 고려하기도 합니다.

Q. 환기관 삽입 후 롤러코스터 같은 놀이기구를 타도 되나요?

일반적인 놀이기구는 크게 문제없습니다. 다만 머리에 강한 충격을 주는 기구는 조심하는 것이 좋습니다. 6개월이 지났다면 튜브가 이미 자연 탈락했을 가능성도 있으니 진료 후 확인하세요.

PREAURICULAR CYST EXCISION

전이개 낭종절제술이란?

귀 앞쪽에 선천적으로 생기는 함몰 누공(전이개 누공)에 낭포가 형성되어 악취·분비물이 발생하거나
감염으로 농양이 반복될 경우, 누공을 완전히 제거하는 수술이 근본적인 치료법입니다.


PREAURICULAR CYST EXCISION

수술 방법

1

마취

소아 전신마취
성인 국소마취

2

피부 절개

누공을 중심으로
타원형 절개

3

완전 제거

가지처럼 뻗은
주머니 전체 적출

4

봉합

필요 시 연골 일부
절제 후 봉합

예상 소요 시간 30분~1시간  ·  재발률 약 20%


PREAURICULAR CYST EXCISION

수술 후 주의사항

  • 01
    실밥 제거 전 세안·샤워 금지수술 후 1~2주 내 실밥을 제거하며, 제거 후 하루까지도 수술 부위에 물이 닿지 않도록 합니다.
  • 02
    3~4개월 경과 관찰실밥 제거 후 특별한 치료는 없으나, 3~4개월간 재발 가능성이 있으므로 정기적으로 확인하세요.
  • 03
    감염 시 즉시 내원수술 부위에 통증·붓기·열감이 생기면 재발 신호일 수 있습니다. 감염 상태에서는 수술이 불가하므로 먼저 배농 처치 후 수술을 진행합니다.